Embolia pulmonar: Saiba, por meio do artigo do Manual MSD, o que é, sintomas, causas e tratamento
A embolia pulmonar é uma doença grave que se dá pelo entupimento de uma ou mais artérias do pulmão. O problema é causado por um coágulo que bloqueia a passagem de sangue pela artéria, provocando dor intensa no peito e sensação de falta de ar.
Confira no artigo, de Victor F. Tapson, MD, publicado no Manual MSD e disponibilizado pela Suprema JF, os sintomas e tratamentos dessa doença grave.
Leia o artigo na íntegra:
Embolia pulmonar (EP)
Por Victor F. Tapson , MD, Cedars-Sinai Medical Center
A embolia pulmonar é a oclusão de artérias pulmonares por trombos que se originam de outro local, classicamente de veias de grosso calibre ou da pelve. Os fatores de risco de embolia pulmonar são condições que dificultam o retorno venoso e causam lesão ou disfunção endotelial, especialmente em pacientes com estado hipercoagulável subjacente. Os sintomas da embolia pulmonar compreendem dispneia, dor torácica pleurítica, tosse e, em casos graves, tontura leve, pré-síncope, síncope ou parada cardiorrespiratória. Os sinais também são inespecíficos e podem incluir taquipneia, taquicardia e, em casos mais graves, hipotensão. O diagnóstico da embolia pulmonar costuma ser acompanhado pela angioTC, embora a cintigrafia de ventilação/perfusão possa ser necessária. O tratamento da embolia pulmonar é com anticoagulantes e, às vezes, dissolução de coágulos com trombólise sistêmica ou direcionada por catete ou remoção cirúrgica ou por catete. Quando a anticoagulação é contraindicada, deve-se colocar um filtro de veia cava inferior. As medidas preventivas incluem anticoagulantes e/ou dispositivos de compressão mecânica que são aplicados às pernas em pacientes internados.
A embolia pulmonar afeta cerca de 117 pessoas por 100.000 pessoas/ano, resultando em cerca de 350.000 casos anuais (provavelmente pelo menos 100.000 nos EUA) e causa até 85.000 mortes/ano. A EP afeta principalmente adultos.
Etiologia
Quase todas as EPs se originam de trombos das veias das pernas ou pelve (trombose venosa profunda). O risco de embolização é maior em caso de trombos proximais para as veias da panturrilha. O tromboembolismo também pode se originar de veias dos membros superiores e veias centrais do tórax (causado por cateteres venosos centrais ou resultante de síndromes de saída torácica).
Os fatores de risco para trombose venosa profunda e embolia pulmonar (ver tabela Fatores de risco de trombose venosa profunda e embolia pulmonar) são semelhantes em crianças e adultos e incluem
- Condições que prejudicam o retorno venoso, incluindo o repouso em leito e a restrição à deambulação
- Condições que causam lesão ou disfunção endotelial
- Transtornos de hipercoagulabilidade (trombofilia) subjacentes
Tabela
Fatores de risco de trombose venosa profunda e embolia pulmonar
|
Idade > 60 anos |
|
Câncer Certos agentes quimioterápicos (p. ex., bevacizumabe) |
|
Modulação hormonal
|
|
Insuficiência cardíaca |
|
Imobilização/mobilidade reduzida (p. ex., viagens de carro prolongadas, viagens aéreas) |
|
Cateteres venosos de demora |
|
Doença mieloproliferativa |
|
Síndrome nefrótica |
|
Obesidade |
|
Gestação/período pós-parto |
|
Tromboembolismo prévio |
|
Anemia falciforme |
|
Tabagismo |
|
Acidente vascular encefálico (AVE) |
|
Distúrbios trombóticos (trombofilias)
|
|
Trauma/cirurgia |
|
Outras condições associadas à mobilidade reduzida, lesão venosa ou hipercoagulabilidade |
Fisiopatologia
Depois que a trombose venosa profunda se desenvolve, o coágulo pode se deslocar e se mover pelo sistema venoso e coração direito para se alojar nas artérias pulmonares, ocluindo parcial ou totalmente um ou mais vasos. As consequências dependem do tamanho e do número de êmbolos, condição subjacente dos pulmões, grau de funcionamento do ventrículo direito (VR) e habilidade do sistema trombolítico intrínseco corporal de dissolver os coágulos. A morte ocorre em decorrência de uma falha no ventrículo direito.
Pequenos êmbolos podem não ter nenhum efeito fisiológico agudo e muitos podem iniciar a lise imediatamente e desaparecer em horas ou dias. Êmbolos maiores podem causar aumento dos reflexos ventilatórios (taquipneia), hipoxemia por incompatibilidade da ventilação/perfusão (V/Q) e baixo teor de oxigênio no sangue venoso misto como resultado de baixo débito cardíaco, atelectasia decorrente da hipocapnia alveolar com alterações do surfactante e aumento da resistência vascular pulmonar causado por obstrução mecânica e vasoconstrição, resultando em taquicardia e hipotensão. A lise endógena reduz a maioria dos êmbolos, mesmo aqueles de tamanho moderado, e as alterações fisiológicas diminuem no decorrer de horas ou dias. Alguns êmbolos resistem à lise e podem se organizar e persistir.
De acordo com os efeitos fisiológicos, a EP pode ser classificada como
- Catastrófico ou supermassivo (alto risco): comprometimento da função ventricular direita com hipotensão e/ou hipoxemia grave que requer tratamento vasopressor agressivo e alto fluxo de oxigênio
- Maciça (também de alto risco): comprometimento da função ventricular direita com hipotensão, definida como PA sistólica < 90 mmHg ou queda da PA sistólica ≥ 40 mmHg em relação aos valores iniciais durante 15 min
- Submaciça (risco intermediário): comprometimento da função ventricular direita e/ou alteração da troponina e/ou nível de BNP sem hipotensão. Observar que a European Society of Cardiology define embolia pulmonar de risco intermediário como pacientes com um índice de gravidade de embolia pulmonar simplificado (sPESI) > 0, incluindo assim pacientes com outras doenças ou achados.
- Baixo risco: ausência de comprometimento do ventrículo direito e ausência de hipotensão (e pela European Society of Cardiology, índice sPESI = 0)
A EP em sela descreve uma embolia pulmonar que se aloja na bifurcação da artéria pulmonar principal e nas artérias pulmonares direita e esquerda; EPs em sela geralmente são, mas nem sempre, de risco alto ou intermediário.
Em 1 a 3% dos casos, a obstrução residual crônica leva à hipertensão pulmonar (hipertensão pulmonar tromboembólica crônica) que pode evoluir ao longo de anos e pode resultar em insuficiência cardíaca direita crônica.
Quando grandes êmbolos ocluem as principais artérias pulmonares ou quando vários êmbolos pequenos ocluem > 50% dos vasos mais distais, a pressão no ventrículo direito aumenta, o que pode ocasionar insuficiência ventricular direita aguda, choque ou morte súbita. O risco de morte depende do grau e da taxa de aumento nas pressões cardíacas do lado direito e do estado cardiopulmonar subjacente do paciente. Pacientes com doença cardiopulmonar preexistente têm maior risco de morte, mas jovens e/ou pacientes saudáveis podem sobreviver à embolia pulmonar que oclui > 50% do leito pulmonar.
O infarto pulmonar (interrupção do fluxo sanguíneo arterial pulmonar levando à isquemia do tecido pulmonar, às vezes representado por um padrão de acometimento pleural [localizado perifericamente], frequentemente em forma de cunha, na radiografia de tórax [corcova de Hampton] ou outras modalidades de imagem) ocorre em < 10% dos pacientes diagnosticados com embolia pulmonar. Esse índice baixo é atribuído ao suprimento sanguíneo duplo do pulmão (brônquico e pulmonar). Em geral, o infarto pulmonar é decorrente de êmbolos menores que se alojam nas artérias pulmonares mais distais e é quase sempre completamente reversível; o infarto pulmonar é reconhecido precocemente, usando critérios radiográficos sensíveis, com frequência antes de a necrose ocorrer.
A EP também pode surgir de fontes não trombóticas.
Sinais e sintomas
Muitas embolias pulmonares são pequenas, fisiologicamente insignificantes e assintomáticas. Mesmo quando existentes, os sintomas são inespecíficos e variam quanto à frequência e à intensidade, dependendo da extensão da oclusão vascular pulmonar e da função cardiopulmonar preexistente.
Os êmbolos frequentemente causam
- Dispneia aguda
- Dor torácica pleurítica (quando há infarto pulmonar)
A dispneia pode ser mínima em repouso e pode piorar durante as atividades.
Os sintomas menos comuns incluem
- Tosse (geralmente causada por doenças comórbidas)
- Hemoptise (ocasionalmente quando há infarto pulmonar)
Em pacientes idosos, o primeiro sintoma pode ser estado mental alterado.
A embolia pulmonar maciça pode se manifestar com hipotensão, taquicardia, tontura leve/pré-síncope, síncope ou parada cardíaca.
Os sinais mais comuns da embolia pulmonar são
- Taquicardia
- Taquipneia
Menos comumente os pacientes apresentam hipotensão. É possível haver hiperfonese da segunda bulha (B2) pelo componente pulmonar audível (P2), mas isso é incomum na embolia pulmonar aguda porque aumenta a pressão arterial pulmonar. são apenas modestos. Crepitações ou sibilos podem ocorrer, mas geralmente são causados por comorbidades. Na presença de insuficiência ventricular direita, veias jugulares internas distendidas e impulso do ventrículo direito podem ser evidentes, e galope do ventrículo direito [3ª bulha cardíaca (B3)], com ou sem regurgitação tricúspide, pode ser audível.
Febre, quando presente, geralmente é baixa, a menos que causada por uma doença subjacente.
O infarto pulmonar costuma ser caracterizado por dor torácica (principalmente pleurítica) e, ocasionalmente, hemoptise. A parede torácica pode estar sensível.
A hipertensão pulmonar tromboembólica crônica acarreta sinais e sintomas de insuficiência cardíaca direita, incluindo dispneia aos esforços, fadiga fácil e edema periférico, o qual se desenvolve no decorrer de meses a anos.
Os pacientes com embolia pulmonar aguda também podem apresentar sintomas de trombose venosa profunda (dor, edema e/ou eritema de um membro superior ou inferior). Mas esses sintomas no membro inferior frequentemente não estão presentes.
Diagnóstico
- Alto índice de suspeita
- Avaliação da probabilidade pré-teste (com base nos achados clínicos, incluindo oximetria de pulso e na radiografia de tórax)
- Testes subsquentes com base na probabilidade pré-teste
O diagnóstico é desafiador, uma vez que os sinais e sintomas são inespecíficos e os testes diagnósticos não são 100% sensíveis ou específicos. É importante incluir a embolia pulmonar no diagnóstico diferencial quando são encontrados sintomas inespecíficos como dispneia, dor torácica pleurítica, hemoptise, tontura leve ou síncope. Assim, deve-se considerar a embolia pulmonar no diagnóstico diferencial de pacientes com suspeita de ter
- Isquemia cardíaca
- Insuficiência cardíaca
- Exacerbações de DPOC
- Pneumotórax
- Pneumonia
- Sepse
- Síndrome torácica aguda (em pacientes com doença falciforme)
- Ansiedade aguda com hiperventilação
Taquicardia significativa e inexplicável pode ser uma pista. A EP também deve ser considerada em todo paciente idoso com taquipneia e estado mental alterado.
A avaliação inicial deve incluir oximetria de pulso, eletrocardiograma (ECG) e radiografia de tórax. ECG, gasometria arterial, ou ambos, podem ajudar a descartar outros diagnósticos (p. ex., infarto agudo do miocárdio).
Habitualmente, a radiografia do tórax é inespecífica, mas pode revelar atelectasia, infiltrados focais, elevação de hemidiafragma e/ou derrame pleural. Os achados clássicos de perda focal dos contornos vasculares (sinal de Westermark), densidade periférica em forma de cunha (corcova de Hampton) ou dilatação da artéria pulmonar descendente direita são sugestivos, mas incomuns (insensíveis) e têm baixa especificidade. A radiografia de tórax também pode ajudar a excluir a pneumonia. O infarto pulmonar decorrente de embolia pulmonar pode ser confundido com pneumonia.
A oximetria de pulso fornece uma forma rápida de avaliar a oxigenação; a hipoxemia é um sinal de embolia pulmonar e requer avaliação adicional. A medição da gasometria pode mostrar uma diferença maior de oxigênio alveolar-arterial (às vezes chamado gradiente A-a) ou hipocapnia; um ou ambos os testes são moderadamente sensíveis para embolia pulmonar, mas não são específicos. A medição da gasometria deve ser considerada especialmente para pacientes com dispneia ou taquipneia que não têm hipoxemia detectada pela oximetria de pulso. A saturação de oxigênio pode ser normal em razão do pequeno comprometimento causado pelo coágulo, ou de uma hiperventilação compensatória; uma pCO2 muito baixa detectada na gasometria arterial pode confirmar que há hiperventilação.
Mais frequentemente, o ECG revela taquicardia e várias alterações na onda ST-T, que não são específicas para embolia pulmonar (ver figura ECG na embolia pulmonar). O padrão S1Q3T3 ou um novo bloqueio do ramo direito pode indicar o efeito da elevação abrupta no tamanho do ventrículo direito na vias de condução no ventrículo direito; esses achados são moderadamente específicos, mas insensíveis, ocorrendo apenas em cerca de 5% dos pacientes, embora os achados ocorram em um percentual maior dos pacientes com embolia pulmonar maciça. Pode haver desvio do eixo para a direita (R > S em V1) e P-pulmonale. Também ocorre inversão da onda T, de V1 para V4.
Eletrocardiograma (ECG) na embolia pulmonar

O ECG mostra taquicardia sinusal, a uma frequência de 110 bpm, um S1Q3T3 e R = S em V1 em um paciente com embolia pulmonar aguda comprovada.
Probabilidade clínica
Pode-se avaliar a probabilidade clínica de embolia pulmonar pela combinação dos achados do ECG e da radiografia de tórax com os da história e do exame físico. Classificações de predição clínica, como a classificação de Wells ou a classificação de Genebra (1), revisto ou a classificação Pulmonary Embolism Rule-Out Criteria (PERC), podem ajudar os médicos a avaliar a probabilidade de haver uma embolia pulmonar aguda. Esses índices preditivos atribuem pontos a vários fatores clínicos, com pontuações cumulativas correspondendo a designações da probabilidade de embolia pulmonar antes do teste (probabilidade pré-teste). Por exemplo, o resultado do classificação de Wells é classificado como provável ou improvável para EP. O índice de probabilidade clínica foi mais bem estudado nos pacientes que chegam ao pronto-socorro.
Um dos importantes critérios clínicos é avaliar se a embolia pulmonar é mais provável do que algum diagnóstico alternativo, e essa determinação é um tanto subjetiva. Mas a avaliação clínica por médicos experientes é igualmente sensível, ou mesmo mais sensível, do que os resultados de índices preditivos formais. A EP provavelmente deve ser considerada mais provável se um ou mais dos sinais e sintomas (especialmente dispneia, hemoptise, taquicardia, ou hipoxemia) não puderem ser explicados clinicamente ou pelos resultados da radiografia de tórax.
A probabilidade pré-teste orienta a estratégia de teste e a interpretação dos resultados dos testes. Pacientes para os quais a embolia pulmonar é improvável, apenas poucos exames adicionais podem ser necessários (como o dímero-D em pacientes ambulatoriais). Nesses casos, um teste de dímero-D negativo (< 0,4 mcg/mL) é altamente indicativo de ausência de EP. Inversamente, se houver alta suspeita clínica de embolia pulmonar e o risco de sangramento for baixo, deve-se considerar a anticoagulação imediata enquanto o diagnóstico é confirmado por exames adicionais.
A regra PERC especifica 8 critérios. A presença desses critérios em um paciente de baixo risco clínico especifica que o teste para embolia pulmonar não é indicado. Os critérios são:
- Idade < 50 anos
- FC < 100
- Saturação de oxigênio ≥ 95%
- Sem trombose venosa profunda ou embolia pulmonar prévia
- Sem edema unilateral no membro inferior
- Sem uso de estrogênio
- Sem hemoptise
- Sem história de cirurgia ou trauma exigindo hospitalização nas últimas 4 semanas
O uso da regra PERC foi recomendado como uma maneira de diminuir as o número de exames para embolia pulmonar além dos exames convencionais usando o dímero d, mas com taxas semelhantes de sensibilidade e valores preditivos negativos.
Exames diagnósticos
- Fazer o monitoramento dos pacientes ambulatoriais testando o dímero-D se a probabilidade pré-teste for baixa ou intermediária
- Se probabilidade pré-teste for efetiva ou se o resultado do dímero D for alto, fazer angioTC, ou cintigrafia de V/Q em caso de insuficiência renal ou quando a TC com contraste for contraindicada.
- Algumas vezes, ultrassonografia de membros inferiores e superiores (para confirmar trombose venosa profunda quando o exame de imagem do pulmão for postergado ou proibitivo)
Não existe nenhum algoritmo aceito de maneira universal para a abordagem de embolismo pulmonar grave suspeito. Os testes mais úteis para diagnosticar ou excluir uma embolia pulmonar são
- Testes de dímero D
- Angiografia por TC
- Cintigrafia V/Q
- Ultrassonografia dúplex
A ecocardiografia pode ajudar a identificar a embolia pulmonar a caminho do pulmão (coágulo em trânsito).
O dímero-D é um subproduto da fibrinólise intrínseca; assim, níveis elevados ocorrem na presença de trombo recente. Ao considerar a probabilidade pré-teste baixa ou intermediária, um nível negativo de dímero D (< 0,4 mcg/mL) é altamente sensível para a ausência de embolia pulmonar com um valor preditivo negativo de > 95%; na maioria dos casos, esse resultado é suficientemente confiável para excluir o diagnóstico de EP na prática clínica de rotina. Contudo, níveis elevados de dímero D não são específicos para a trombose venosa porque muitos pacientes sem trombose venosa profunda ou embolia pulmonar também têm níveis elevados e, portanto, outros exames são necessários quando o dímero D está aumentado ou quando a probabilidade pré- teste de embolia pulmonar é efetiva.
A angiografia por TC é a técnica de imagem preferida para o diagnóstico de embolia pulmonar aguda. Ela é rápida, precisa e altamente sensível e específica. Também pode fornecer informações adicionais sobre outra patologia pulmonar (p. ex., demonstração de pneumonia em vez de embolia pulmonar como causa de hipóxia ou dor torácica tipo pleurítica), bem como sobre a gravidade da embolia pulmonar (p. ex., pelo tamanho do ventrículo direito ou presença de refluxo nas veias hepáticas). Embora tomografias de baixa qualidade decorrente de artefatos em movimento ou bolus de contraste ruim possa limitar a sensibilidade do exame, melhorias na tecnologia da TC diminuíram os tempos de aquisição para menos de 2 segundos, fornecendo imagens relativamente livres de movimento em pacientes que estão dispneicos. Tempos de varredura rápidos possibilitam a utilização de volumes menores de contraste iodado, o que reduz o risco de lesão renal aguda.
A sensibilidade da angiografia por TC é maior para embolia pulmonar na artéria pulmonar principal e vasos lobares e segmentares. A sensibilidade da angiografia por TC é menor para embolia em vasos subsegmentares (cerca de 30% de todas as EP). No entanto, a sensibilidade e a especificidade da angiografia por TC melhoraram à medida que a tecnologia evoluiu.
As cintigrafias V/Q na embolia pulmonar detectam áreas do pulmão que estão ventiladas, mas não perfundidas. A cintigrafia V/Q demora mais tempo do que a angiografia por TC e é menos específica. Contudo, quando os achados das radiografias de tórax são normais ou quase normais e não existe doença pulmonar subjacente significativa, ela é um teste altamente sensível. A cintigrafia V/Q é particularmente útil quando a insuficiência renal impede o uso de contraste que é de outro modo necessário para a angiografia por TC. Em alguns hospitais, a cintigrafia de V/Q pode ser feita com uma máquina portátil que faz 3 incidências da ventilação e perfusão, o que é útil quando o paciente está muito doente para se mover. Os resultados são de probabilidade normal, muito baixa, baixa, intermediária ou alta de embolia pulmonar segundo os padrões de incompatibilidade de V/Q. A cintigrafia completamente normal exclui embolia pulmonar com precisão de, aproximadamente, 100%, mas a cintigrafia de probabilidade baixa ainda apresenta a possibilidade de 15% de embolia pulmonar. Deficits de perfusão podem ocorrer em muitas outras doenças pulmonares (p. ex., DPOC, fibrose pulmonar, pneumonia, derrame pleural). Deficiências na incompatibilidade da perfusão que podem mimetizar uma embolia pulmonar podem ocorrer na vasculite pulmonar, na doença veno-oclusiva pulmonar e na sarcoidose.
Em caso de probabilidade intermediária, há uma probabilidade de 30 a 40% de embolia pulmonar; na cintigrafia de probabilidade elevada, existe uma probabilidade de 80 a 90% de embolia pulmonar. Deve-se utilizar os resultados dos testes de probabilidade clínica em conjunto com o resultado da TC para determinar a necessidade de tratamento ou testes adicionais.
A ultrassonografia dúplex é uma técnica segura, não invasiva e portátil para a detecção de trombos nos membros inferiores e superiores. Pode-se detectar o coágulo mostrando compressibilidade baixa da veia ou mostrando redução de fluxo por ultrassonografia Doppler. O teste tem sensibilidade > 95% e especificidade > 95% para trombos. Confirmar a trombose venosa profunda na panturrilha ou nas veias ilíacas pode ser mais difícil, mas geralmente pode ser feito. O técnico de ultrassom deve sempre tentar obter uma imagem abaixo da veia poplítea em sua trifurcação.
A ausência de trombos nas veias dos membros inferiores não exclui a possibilidade de trombo de outras fontes, como os membros superiores, mas os pacientes com suspeita de trombose venosa profunda e resultados negativos na ultrassonografia bidimensional com Doppler têm > 95% de sobrevida livre de eventos, porque os trombos de outras fontes são muito menos comuns.
Embora a ultrassonografia dos membro inferiores ou superiores não seja diagnóstica para embolia pulmonar, um exame que revela trombos axilares-subclavianos e no membro inferior estabelece a necessidade de anticoagulação e pode eliminar a necessidade de testes diagnósticos adicionais a menos que terapia mais agressiva (p. ex., terapia trombolítica) esteja sendo considerada. Portanto, interromper a avaliação diagnóstica após a detecção de trombose venosa profunda na ultrassonografia dos membros inferiores e superiores é mais apropriado para pacientes estáveis com contraindicações para a TC por contraste e nos quais espera-se que a cintilografia V/Q tenha baixa especificidade (p. ex., em pacientes com radiografia de tórax anormal). Na embolia pulmonar grave suspeita, o resultado negativo da ultrassonografia não exclui a necessidade de exames adicionais.
A ecocardiografia pode mostrar um coágulo no átrio ou ventrículo direito, mas é mais comumente usada para a estratificação de risco na EP aguda. A presença de dilatação do ventrículo direit e hipocinesia pode sugerir a necessidade de uma terapia mais agressiva.
A avaliação dos marcadores cardíacos está se desenvolvendo como uma forma útil de estratificar a taxa de mortalidade em pacientes com embolia pulmonaraguda. Pode-se fazer testes de marcadores cardíacos de maneira adjunta em caso de suspeita de embolia pulmonar ou embolia pulmonar comprovada. A elevação dos níveis de troponina pode significar isquemia ventricular direita (ou, às vezes, ventricular esquerda). Níveis elevados de peptídio natriurético cerebral (BNP) e de pró-BNP podem significar disfunção ventricular direita; contudo, esses testes não são específicos para coloração ventrículo direito ou para embolia pulmonar.
Testes para doença trombótica (trombofilia) devem ser feitos para pacientes com embolia pulmonar e nenhum fator de risco conhecido, especialmente se eles têm < 35 anos de idade, embolia pulmonar recorrente ou história familiar positiva. Algumas trombofilias, como a síndrome do anticorpo antifosfolipídio, exigem tipos específicos de anticoagulação para cada doença.
A arteriografia pulmonar agora é raramente necessária para diagnosticar a embolia pulmonar aguda porque a angiografia por TC não invasiva tem sensibilidade e especificidade semelhantes. No entanto, em pacientes fazendo trombólise guiada por cateter, a angiografia pulmonar ajuda a avaliar a colocação do cateter e pode ser utilizada como um meio rápido de determinar o sucesso do procedimento quando o cateter é removido. A arteriografia pulmonar continua a ser usada em conjunto com o cateterismo cardíaco direito para avaliar se os pacientes com hipertensão pulmonar tromboembólica crônica são candidatos à endarterectomia pulmonar.
Referência sobre diagnóstico
- 1. Le Gal G, Righini M, Roy PM, et al: Prediction of pulmonary embolism in the emergency department: the revised Geneva score. Ann Intern Med 144:165–171, 2006.
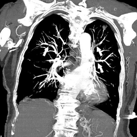
Embolia pulmonar (angiografia por TC)
Angiografia por TC mostrando múltiplos êmbolos bilaterais.
Com a permissão do editor. De Kucher N, Goldhaber S, Sewell J, et ai. In Bone's Atlas of Pulmonary and Critical Care Medicine. Editado por J Crapo. Philadelphia, Current Medicine, 2005.

Embolia pulmonar (cintilografia de perfusão pulmonar)
Cintilografia de perfusão pulmonar com albumina macroagregada a tecnécio-99m. As 8 incidências convencionais são anterior, posterior, oblíqua anterior esquerda (OAE), oblíqua posterior direita (OPD), oblíqua anterior direita (OAD), oblíqua posterior esquerda (OPE), lateral direita (LD) e esquerda (LD). Essa cintilografia de perfusão tem alterações, mostrando múltiplos defeitos de perfusão periférica nos dois pulmões. Diante de uma radiografia simples de tórax normal ou exame normal para ventilação, essa cintilografia de perfusão indica alta probabilidade de embolia pulmonar aguda.
Com a permissão do editor. De Kucher N, Goldhaber S, Sewell J, et ai. In Bone's Atlas of Pulmonary and Critical Care Medicine. Editado por J Crapo. Philadelphia, Current Medicine, 2005.

Dicas e conselhos
Na embolia pulmonar aguda suspeita, a ausência de trombose venosa na ultrassonografia não descarta uma embolia pulmonar.
Prognóstico
Estima-se que 10% dos pacientes com embolia pulmonar morrem nas primeiras poucas horas depois da apresentação. A maioria dos pacientes que morre como consequência da embolia pulmonar aguda não foi diagnosticada antes da morte. Na verdade, não havia nem suspeita de embolia pulmonar na maioria desses pacientes. As melhores perspectivas para a redução da mortalidade envolvem
- Melhorar a frequência do diagnóstico (p. ex., incluir a embolia pulmonar no diagnóstico diferencial quando os pacientes manifestam sinais ou sintomas não específicos, mas compatíveis)
- Melhorar a rapidez do diagnóstico e a iniciação da terapia com anticoagulantes
- Fornecer profilaxia apropriada para pacientes de risco
Níveis muito altos do dímero d parecem prever um resultado ruim.
Pacientes com doença tromboembólica crônica representam uma fração pequena, mas importante, dos pacientes com embolia pulmonar que sobrevivem. Os anticoagulantes reduzem a recorrência da embolia pulmonar para aproximadamente 5%, e alguns estudos mostraram que os anticoagulantes reduzem ainda mais a recidiva.
Tratamento geral
- Terapia de suporte
- Anticoagulação
- Colocação de filtro na veia cava inferior (em pacientes selecionados)
- Redução rápida da quantidade de coágulos (em pacientes selecionados)
Deve-se realizar uma avaliação rápida da necessidade de terapia de suporte. Em pacientes com hipoxemia, deve-se administrar oxigênio. Em pacientes com hipotensão decorrente de embolia pulmonar maciça, pode-se administrar com cautelo soro fisiológico a 0,9% IV; a sobrecarga do ventrículo direito pode resultar em deterioração. Pode-se administrar também vasopressores se os líquidos IV não conseguirem aumentar suficientemente a pressão arterial. A noradrenalina é o agente de primeira linha mais comumente utilizado. A adrenalina e a dobutamina têm efeitos inotrópicos, mas não está claro o quanto isso afeta o VD cujas paredes normalmente são finas.
A anticoagulação é a base do tratamento da embolia pulmonar e a rápida redução da quantidade de coágulos por meio da trombólise ou da embolectomia para os pacientes com hipotensão que não resolve após a reanimação volêmica, e para pacientes selecionados com comprometimento da função do ventrículo direito. Deve-se considerar a colocação de um filtro percutâneo removível na veia cava inferior (IVCF) para pacientes com contraindicações para a terapia anticoagulante ou para aqueles com embolia pulmonar recorrente apesar do uso de anticoagulantes. Por exemplo, deve-se colocar um filtro em pacientes com trombose venosa profunda aguda, coágulos residuais no membro inferior que não podem ser anticoagulados porque eles apresentam risco persistente de trombose venosa profunda aguda subsequente.
A maioria dos pacientes com embolia pulmonar deve ser hospitalizada por pelo menos 24 a 48 h. Os pacientes com sinais vitais anormais ou embolia pulmonar maciça ou submaciça requerem períodos mais longos de internação.
A embolia pulmonar maciça sempre requer internação na unidade de terapia intensiva. Também deve-se considerar a admissão na unidade de terapia intensiva (UTI) se os pacientes têm:
- Quantidade extensiva de coágulos
- Comprometimento de VD
- Hipoxemia importante
- Hipotensão baixa ou limítrofe
- Deterioração clínica
Os pacientes com embolia pulmonar descoberta incidentalmente ou aqueles com uma quantidade muito pequena de coágulos e pouquíssimos sintomas podem ser tratados ambulatorialmente se seus sinais vitais estiverem estáveis, se os pacientes receberem instruções e se houver um plano razoável para o tratamento ambulatorial com acompanhamento.
Cada vez mais, equipes de resposta a embolias pulmonares (EREPs), com médicos pneumologistas/intensivistas, cardiologistas intervencionistas, cirurgiões cardiotorácicos, hematologistas e de outras especialidades, estão se formando nos EUA; o objetivo dessas equipes é avaliar e tratar rapidamente os pacientes com embolia pulmonar aguda.
Anticoagulação
Indica-se anticoagulação inicial seguida de anticoagulação de manutenção para pacientes com embolia pulmonar aguda a fim de prevenir a extensão dos coágulos e embolização adicional, bem como a formação de novos coágulos. A terapia anticoagulante aguda para embolia pulmonar aguda deve ser iniciada sempre que houver forte suspeita de embolia pulmonar, desde que o risco de sangramento seja considerado baixo. Do contrário, a anticoagulação deve ser iniciada assim que o diagnóstico é feito. A probabilidade dos benefícios e danos no tratamento da embolia em vasos menores, subsegmentares (particularmente êmbolos assintomáticos e descobertos incidentalmente) é atualmente desconhecida, sendo possível que em alguns casos os danos possam suplantar os benefícios. Mesmo assim, o tratamento é atualmente recomendado. A principal complicação da terapia anticoagulante é o sangramento, e os pacientes devem ser cuidadosamente observados quanto a sangramento durante a hospitalização.
Anticoagulação inicial
As opções de anticoagulação inicial para embolia pulmonar aguda incluem
- Heparina não fracionada intravenosa
- Heparina de baixo peso molecular subcutânea
- Fondaparinux subcutâneo
- Inibidores de fator Xa (apixabana e rivaroxabana)
- Argatrobana intravenosa para pacientes com trombocitopenia induzida por heparina
A heparina não fracionada intravenosa tem uma meia-vida curta (útil quando o potencial de sangramento é considerado mais elevado do que o normal) e é reversível com protamina. Deve-se administrar um bolo inicial de heparina não fracionada seguido por infusão de heparina dosada por protocolo para alcançar um TTP ativado de 1,5 a 2,5 vezes aquele do controle normal (ver figura Dosagem de heparina com base no peso). Portanto, a administração da heparina não fracionada requer internação contínua. Além disso, a farmacocinética da heparina não fracionada é relativamente imprevisível, resultando em períodos frequentes de superanticoagulação e subanticoagulação e necessitando de ajustes de dose frequentes. Independentemente disso, muitos médicos preferem esse regime IV de heparina não fracionada, particularmente quando a terapia trombolítica é administrada ou contemplada ou quando os pacientes têm risco de sangramento porque, se ocorrer sangramento, a meia-vida curta significa que a anticoagulação é rapidamente revertida depois de a infusão ser interrompida.
A heparina de baixo peso molecular subcutânea tem várias vantagens em relação à heparina não fracionada, incluindo
- Biodisponibilidade superior
- A dosagem de acordo com o peso resulta em um efeito anticoagulante mais previsível do que a dosagem de acordo com o peso da heparina não fracionada
- Facilidade de administração (pode ser administrada por via subcutânea, 1 ou 2 vezes/dia)
- Diminuição da incidência de sangramento
- Desfechos potencialmente melhores
- O potencial para os pacientes se autoinjetarem (possibilitando assim uma alta hospitalar mais rápida)
- Menor risco de trombocitopenia induzida pela heparina em comparação à heparina não fracionada convencional
Dosagem de heparina com base no peso

Nos pacientes com insuficiência renal, são necessárias reduções da dose (ver tabela Algumas opções de heparina de baixo peso molecular na doença tromboembólica), e deve-se fazer uma verificação subsequente da posologia apropriada checando os níveis séricos do fator Xa (meta: 0,5 a 1,2 UI/mL dosado 3 h a 4 h após a 4ª dose). Heparinas de baixo peso molecular geralmente são contraindicadas em pacientes com insuficiência renal grave (depuração de creatinina < 30 mL/min). Heparinas de baixo peso molecular são parcialmente reversíveis com protamina.
Os efeitos adversos de todas as heparinas incluem
- Sangramento
- Trombocitopenia (incluindo a trombocitopenia induzida pela heparina com o potencial de tromboembolismo)
- Urticária
- Anafilaxia (rara)
O sangramento causado pela heparinização excessiva com a heparina não fracionada pode ser tratado com um máximo de 50 mg de protamina por 5.000 unidades de heparina não fracionada em infusão durante 15 a 30 minutos. Heparinização excessiva com heparina de baixo peso molecular pode ser tratada com protamina 1 mg em soro fisiológico normal de 20 mL infundido por 10 a 20 minutos, embora a dose exata não esteja definida porque a protamina neutraliza apenas parcialmente a inativação da heparina de baixo peso molecular do fator Xa.
Tabela
Algumas opções de heparinas de baixo peso molecular* na doença tromboembólica
|
Heparina de baixo peso molecular |
Dose de tratamento |
Dose profilática |
|
Dalteparina |
100 unidades/kg por via subcutânea a cada 12 h ou 200 unidades/kg uma vez ao dia†, ‡ |
2.500–5.000 unidades, 1 vez/dia |
|
|
|
|
|
Enoxaparina |
1 mg/kg por via subcutânea a cada 12 h ou 1,5 mg/kg por via subcutânea uma vez ao dia§ |
Depois de cirurgia abdominal: 40 mg, por via subcutânea, uma vez ao dia Após uma cirurgia de artroplastia de quadril: 40 mg, por via subcutânea, uma vez ao dia, ou 30 mg, por via subcutânea, a cada 12 h; após uma artroplastia de joelho: 30 mg, por via subcutânea, a cada 12h Para a angina instável ou infarto do miocárdio não onda Q: 1 mg/kg, por via subcutânea, a cada 12 h Para outros pacientes (clínicos) não submetidos à cirurgia: 40 mg por via subcutânea uma vez ao dia |
|
Tinzaparina |
175 unidades/kg por via subcutânea uma vez ao dia (em pacientes com ou sem EP)¶ |
3.500 unidades, 1 vez/dia |
*Para a dosagem da heparina não fracionada, ver figura Dosagem de heparina de acordo com o peso.
Nota: embora heparinas de baixo peso molecular possam ser administradas por infusão intravenosa contínua, essa forma de administração é raramente necessária ou indicada. Em geral, administrar heparinas de baixo peso molecular por injeção intravenosa na região abdominal com o paciente em decúbito dorsal.
†Em pacientes com câncer, administra-se dalteparina a 200 unidades/kg, uma vez ao dia, durante os primeiros 30 dias de tratamento.
‡Em pacientes que desenvolvem insuficiência renal, deve-se reavaliar a dosagem de dalteparina.
§Em pacientes com insuficiência renal (depuração de creatinina < 30 mL/min), a dose de enoxaparina deve ser reduzida ou o fármaco deve ser interrompido.
¶Em pacientes com insuficiência renal, a tinzaparina é administrada com cautela, embora não haja recomendações específicas.
IM = infarto do miocárdio; EP = embolia pulmonar; sc = subcutânea
O fondaparinux é um antagonista mais recente do fator Xa. Pode ser utilizada na trombose venosa profunda aguda em vez da heparina ou da heparina de baixo peso molecular. Também foi demonstrado que ele previne recorrências em pacientes com trombose venosa superficial. Os desfechos parecem ser semelhantes àqueles da heparina não fracionada. As vantagens incluem a administração de uma dose diária fixa 1 ou 2 vezes/dia, sem a necessidade de monitorar o grau de anticoagulação, e menor risco de trombocitopenia. A dose (em mg/kg, uma vez ao dia) é 5 mg para pacientes < 50 kg, 7,5 mg para pacientes entre 50 e 100 kg e 10 mg para pacientes > 100 kg. A dose de fondaparinux é diminuída em 50% se a depuração da creatinina for de 30 a 50 mL/min. Esse fármaco é contraindicado se a depuração de creatinina é < 30 mL/min.
Outros inibidores do fator Xa mais recentes, apixabana, rivaroxabana e edoxabana, têm as vantagens da dose oral fixa, a possibilidade de serem utilizados como anticoagulantes de manutenção sem necessidade de monitoramento laboratorial do efeito anticoagulante. Também causam poucas interações adversas com outros fármacos, embora o tratamento com antifúngicos azólicos e certos antirretrovirais mais antigos contra o HIV (inibidores da protease) aumentam os níveis de alguns inibidores do fator Xa, alguns anticonvulsivantes e a rifampicina diminui os níveis de alguns inibidores orais do fator Xa. Embora a rivaroxabana e a apixabana não exijam sobreposição com um anticoagulante parenteral quando usado como terapia inicial, a edoxabana requer o uso de um anticoagulante parenteral por 5 a 10 dias.
Reduções da dose são indicadas para pacientes com insuficiência renal. Pode-se usar apixabana em pacientes com insuficiência renal e dados recentes sugerem que o uso é seguro em pacientes submetidos à hemodiálise.
A reversão da anticoagulação dos inibidores orais de Xa (rivaroxabana, apixabana, edoxabana) é possível com o andexanet, embora esse fármaco não esteja amplamente disponível no momento. Além disso, a meia-vida dos inibidores mais recentes do fator Xa é muito menor do que a meia-vida da varfarina. Se houver sangramento que requer reversão, pode-se considerar a utilização do concentrado de complexo de protrombina fator 4 e recomenda-se a consulta a um hematologista.
A segurança e eficácia desses fármacos em pacientes com embolia pulmonar complicada por descompensação cardiopulmonar grave ainda não foram estudadas, e fármacos parenterais devem ser usados para anticoagulação nesses pacientes até que haja melhora significativa da função cardiopulmonar.
Comprovou-se que a dabigatrana, um inibidor direto da trombina também é eficaz para o tratamento de trombose venosa profunda e embolia pulmonar agudas. O idarucizumabe é comprovadamente eficaz para reverter a dabigatrana.
Por fim, em pacientes com trombocitopenia induzida pela heparina, suspeita ou comprovada, pode-se utilizar argatrobana intravenosa ou fondaparinux subcutâneo para a anticoagulação. O uso de anticoagulantes orais mais recentes está sendo atualmente estudado em pacientes com trombocitopenia induzida pela heparina, mas esses fármacos parecem seguros após a recuperação plaquetária.
Anticoagulação de manutenção
A anticoagulação de manutenção é indicada para reduzir o risco de extensão de coágulos ou embolização e para reduzir o risco de formação do novos coágulos. As opções de fármaco para a anticoagulação de manutenção incluem
- Antagonista oral da vitamina K (varfarina nos EUA)
- Inibidores orais do fator Xa (apixaban, rivaroxaban, edoxaban)
- Inibidor oral direto de trombina (dabigatrana)
- Raramente eparina de baixo peso molecular subcutânea
A varfarina é uma opção de anticoagulação oral prolongada eficaz que tem sido utilizada há décadas, mas, por algumas razões, é muito inconveniente. Na maioria dos pacientes, a varfarina é iniciada no mesmo dia que a terapia com heparina (ou fondaparinux) é utilizada para a anticoagulação inicial. A terapia com heparina (ou fondaparinux) deve ser sobreposta à terapia com varfarina por no mínimo 5 dias e até que o INR esteja dentro do intervalo terapêutico (2,0 a 3,0) por pelo menos 24 h.
As principais desvantagens da varfarina são a necessidade de monitoramento periódico do INR, com ajustes frequentes da dose, e as interações medicamentosas. Os médicos que prescrevem varfarina devem estar cientes das interações medicamentosas; em um paciente tomando varfarina, praticamente todos os novos fármacos devem ser verificados.
O sangramento é a complicação mais comum do tratamento com varfarina; pacientes > 65 anos e aqueles com comorbidades (especialmente diabetes, infarto agudo do miocárdio recente, hematócrito < 30%, ou creatinina > 1,5 mg/dL) e uma história de acidente vascular encefálico ou sangramento GI parecem ter risco maior. O sangramento pode ser revertido com vitamina K, 2,5 a 10 mg, IV ou por via oral e, em caso de emergência, com plasma fresco congelado ou uma nova formulação concentrada (concentrados de complexo protrombínico) contendo fator II (protrombina), fator VII, fator IX, fator X, proteína C e proteína S. A vitamina K provoca rubor, dor local e, raramente, anafilaxia.
A necrose induzida pela varfarina, uma complicação devastadora do tratamento com varfarina, pode ocorrer em pacientes com trombocitopenia induzida pela heparina se a varfarina for iniciada antes da recuperação das plaquetas. Com base nessas considerações e no desenvolvimento de anticoagulantes orais mais convenientes, é provável que o uso da varfarina diminuirá substancialmente nos próximos anos.
Pode-se utilizar apixabana e rivaroxabana,anticoagulantes orais inibidores do fator Xa tanto para a anticoagulação inicial como de manutenção (ver tabela Anticoagulantes orais). Esses fármacos são mais convenientes do que a varfarina por causa da sua dose fixa e de não haver necessidade de monitoramento laboratorial, bem como por terem menos interações farmacológicas. Em ensaios clínicos, a rivaroxabana (1, 2), apixabana (3) e edoxabana (4) foram tão eficazes (em análises de não inferioridade) quanto a varfarina na prevenção de trombose venosa profunda e embolia pulmonar recorrentes. Uma metanálise de grandes ensaios clínicos randomizados de fase III descobriu que as taxas dos principais sangramentos, incluindo hemorragia intracraniana, eram significativamente mais baixas com os anticoagulantes inibidores orais do fator Xa do que com a varfarina (5). Outra vantagem da rivaroxabana e da apixabana é que as doses podem ser reduzidas (10 mg por via oral uma vez ao dia de rivaroxabana e 2,5 mg por via oral 2 vezes/dia de apixabana) após os pacientes terem sido tratados por 6 a 12 meses.
Dicas e conselhos
No paciente que está tomando varfarina, praticamente todos os novos fármacos devem ser verificados quanto a potenciais interações.
A doxabana exige a administração de heparina ou heparina de baixo peso molecular durante 5 a 10 dias.
O dabigatrana, um inibidor direto da trombina, também pode ser utilizado para a terapia de anticoagulação de manutenção. Como com a edoxabana, são necessários 5 a 10 dias do tratamento com heparina não fracionada ou heparina de baixo peso molecular é necessária antes de a dabigatrana ser iniciada. O sangramento clinicamente relevante foi mais baixo com ou o edoxaban do que com a varfarina. O uso da dabigatrana como uma tratamento de manutenção tem as mesmas vantagens e desvantagens que o uso de inibidores do fator Xa.
A necessidade do tratamento inicial com heparina antes da administração da edoxabana e da dabigatrana é um reflexo da maneira como os ensaios clínicos foram realizados.
Heparina de baixo peso molecular subcutânea é principalmente utilizada para pacientes com alto risco de câncer ou pacientes com embolia pulmonar recorrente apesar do uso de outros anticoagulantes Dados recentes (estudo SELECT-D) sugerem eficácia da rivaroxabana em pacientes com câncer (6).
Estudou-se o uso da aspirina para o tratamento de manutenção a longo prazo. Ela parece ser mais eficaz do que o placebo, mas menos eficaz do que todos os outros anticoagulantes disponíveis. Rivaroxabana 10 mg, uma vez ao dia, provou ser mais eficaz na redução da trombose venosa profunda/embolia pulmonar recorrente, mas é tão segura quanto o ácido acetilsalicílico em pacientes janticoagulados há 6 a 12 meses (7).
Tabela
Anticoagulantes orais
Fármaco Dose Comentários
Inibidores do fator Xa
|
Apixabana |
10 mg por via oral 2 vezes/dia durante 7 dias Em seguida, 5 mg por via oral 2 vezes/dia |
A dose pode ser reduzida para 2,5 mg 2 vezes/dia após 6 a 12 meses de tratamento. |
|
Edoxaban |
60 mg por via oral uma vez ao dia Se a depuração da creatinina for de 15–50 mL/min ou se o peso corporal ≤ 60 kg, 30 mg por via oral uma vez ao dia |
É necessário tratamento inicial com heparina por 5–10 dias. Edoxaban não deve ser usado se a depuração de creatinina é < 15 mL/min. |
|
Rivaroxabana |
15 mg por via oral 2 vezes/dia por 21 dias ingerida com alimentos Então 20 mg por via oral uma vez ao dia ingeridos com os alimentos |
Não se deve utilizar a rivaroxabana para trombose venosa profunda ou EP se a depuração da creatinina for < 30 mL/min. Pode-se reduzir a dose para 10 mg uma vez ao dia após 6 a 12 meses de tratamento. |
|
Inibidor do fator IIa (trombina) |
||
|
Dabigatrana |
150 mg por via oral 2 vezes/dia |
É necessário tratamento inicial com heparina por 5–10 dias. A dabigatrana não deve ser utilizada para a trombose venosa profunda se a depuração da creatinina for < 30 mL/min. |
Duração da anticoagulação
A duração da anticoagulação de manutenção para embolia pulmonar depende de uma variedade de fatores (p. ex., fatores de risco de embolia pulmonar, risco de sangramento) e pode variar de 3 meses à terapia por toda a vida. Os fatores de risco claramente transitórios (p. ex., imobilização, cirurgia recente e/ou trauma) exigem apenas 3 meses de tratamento. Os pacientes com embolia pulmonar não provocada, aqueles com fatores de risco mais duráveis para embolia pulmonar (p. ex., câncer, distúrbio trombofílico) e aqueles com embolia pulmonar recorrente pode se beneficiar da anticoagulação por toda a vida desde que o risco de sangramento seja baixo ou moderado. Para muitos pacientes, o grau do risco é menos claro (p. ex., com um fator precipitante menor como um voo de 4 horas); para eles, em vez de interromper a rivaroxabana ou a apixabana aos 6 meses, pode-se reduzir a dose.
Os fatores de risco de sangramento incluem
- Idade > 65 anos
- Sangramento prévio
- Trombocitopenia
- Terapia antiplaquetária
- Controle deficitário dos anticoagulantes
- Quedas frequentes
- Falência hepática
- Abuso de álcool
- Cirurgia recente
- Capacidade funcional reduzida
- Acidente vascular encefálico prévio
- Diabetes
- Anemia
- Câncer
- Insuficiência renal
Baixo risco de sangramento é definido como a ausência de fatores de risco de sangramento. Um risco moderado de sangramento é definido como a presença de um fator de risco. Alto risco de sangramento é definido como a presença de dois ou mais fatores de risco.
Como descrito acima, após 6 meses de tratamento com rivaroxabana ou apixabana, pode-se considerar a redução da dose.
Referências sobre anticoagulação
- 1. EINSTEIN Investigators, Bauersachs R, Berkowitz SD, et al: Oral rivaroxaban for symptomatic venous thromboembolism. N Engl J Med 363(26):2499–2510, 2010.
- 2. EINSTEIN-PE Investigators, Buller HR, Prins MH, et al: Oral rivaroxaban for the treatment of symptomatic pulmonary embolism. N Engl J Med 366 (14):1287–1297, 2012.
- 3. Agnelli G, Buller HR, Cohen A, et al: Oral apixaban for the treatment of acute venous thromboembolism.N Engl J Med 369(9):799–808, 2013.
- 4. Hokusai-VTE Investigators, Buller HR, Decousus H, et al: Edoxaban versus warfarin for the treatment of symptomatic venous thromboembolism. N Engl J Med 369(15): 1406–1415, 2013.
- 5. van Es N, Coppens M, Schulman S, et al: Direct oral anticoagulants compared with vitamin K antagonists for acute symptomatic venous thromboembolism: evidence from phase 3trials. Blood124 (12): 1968–1975, 2014.
- 6. Young AM, Marshall A, Thirlwall J, et al: Comparison of an oral factor Xa inhibitor with LMWH in patients with cancer with VTE Results of a randomized trial (SELECT-D). J Clin Oncol 36 (20):2017–2029, 2018.
- 7. Weitz JI, Lensing AWA, Prins MH, et al: Rivaroxaban or aspirin for extended treatment of venous thromboembolism. N Engl J Med 376:1211–1222, 2017. doi: 10.1056/NEJMoa1700518. Epub 2017 Mar 18.
Redução rápida da quantidade de coágulos
Deve-se considerar a eliminação dos coágulos por meio de embolectomia ou dissolução com trombólise venosa guiada por cateter na embolia pulmonar grave associada à hipotensão que não resolve após a reanimação volêmica ( embolia pulmonar maciça). Os pacientes que são hipotensos e exigem terapia vasopressora são candidatos óbvios. Os pacientes com pressão arterial sistólica < 90 mmHg que perdura por pelo menos 15 minutos que estão hemodinamicamente comprometidos também são candidatos.
Embora apenas a anticoagulação seja geralmente recomendada para os pacientes com discreta disfunção de ventrículo direito (segundo os achados clínicos, eletrocardiográficos ou ecocardiográficos), pode ser necessário fazer trombólise ou embolectomia quando o comprometimento do ventrículo direito e/ou a hipoxemia for grave, mesmo se não houver hipotensão, sobretudo quando a deterioração é provável como sugerido pelo aumento da frequência cardíaca ou a diminuição da saturação de oxigênio ou da pressão arterial.
Terapia trombolítica sistêmica
A terapia trombolítica sistêmica com alteplase (ativador do plasminogênio tecidual [tPA]), oferece uma maneira não invasiva de restaurar rapidamente o fluxo sanguíneo pulmonar, mas é controversa, uma vez que os benefícios em longo prazo não sobrepujam claramente o risco de hemorragia. Independentemente disso, a maioria dos especialistas concorda que deve-se administrar terapia trombolítica sistêmica a pacientes com comprometimento hemodinâmico, especialmente se este for grave. Embora nenhum ensaio clínico randomizado prospectivo que tenha analisado a terapia trombolítica sistêmica tenha mostrado melhorar a taxa de sobrevida em pacientes com embolia pulmonar submaciça, alguns especialistas recomendam trombolíticos, particularmente quando os pacientes também têm inúmeros ou grandes coágulos, disfunção do ventrículo direito muito grave, taquicardia importante, hipoxemia significativa e outros achados concomitantes como coágulo residual no membro inferior, valores de troponina positivos, e/ou valores elevados de BNP. Outros reservam a trombólise apenas para os pacientes com embolia pulmonar maciça (alto risco). Em geral, a estreptoquinase e a uroquinase não são mais utilizadas.
Contraindicações absolutas a trombolíticos incluem
- Acidente vascular hemorrágico prévio
- Acidente vascular isquêmico no período de 1 ano
- Sangramento externo ou interno ativo de qualquer fonte
- Cirurgia ou lesão intracraniana no período de 2 meses
- Tumor intracraniano
- Alguns tipos de cirurgia nos dias anteriores
As contraindicações relativas incluem
- Cirurgia recente (≤ 10 dias)
- Diátese hemorrágica (como na insuficiência hepática)
- Gestação
- Punções recentes das grandes veias não compressíveis (p. ex., veias subclávia ou jugular interna)
- Cateterização arterial femoral recente (p. ex., ≤ 10 dias)
- Úlcera péptica ou outras condições que aumentam o risco de sangramento
- Hipertensão grave (pressão arterial sistólica > 180 mmHg ou pressão arterial diastólica > 110 mmHg)
- Trauma encefálico decorrente da síncope induzida por EP, mesmo se a TC de crânio estiver normal
Exceto em caso de hemorragia intracerebral concorrente, às vezes administra-se terapia trombolítica para pacientes com embolia pulmonar maciça que têm "contraindicações absolutas" para essa terapia caso seja esperada morte se este tratamento não for utilizado. Em pacientes com contraindicações relativas, a decisão de administrar trombolíticos sistêmicos depende de fatores individuais do paciente.
Nos EUA, usa-se a alteplase (tPA) para trombólise sistêmica (ver tabela Esquemas de trombólise sistêmica). A estreptoquinase e a uroquinase não são mais utilizadas para embolia pulmonar aguda.
Nos EUA, quando são administrados trombolíticos sistêmicos, a heparina geralmente é interrompida após a dose de carga inicial. Contudo, na Europa, a heparina muitas vezes é continuada, e não há nenhuma determinação clara quanto a qual método é preferido. Deve-se considerar o risco de sangramento.
O sangramento, se ocorrer, pode ser revertido com crioprecipitado ou plasma fresco congelado. Os locais vasculares acessíveis que estão sangrando podem ser comprimidos. O potencial de sangramento pós-trombólise sistêmica levou a um aumento na implementação da trombólise guiada por cateter, porque são utilizadas doses muito mais baixas de agentes trombolíticos.
Tabela
Esquemas para a trombólise sistêmica
Fármaco Regime padrão
|
Alteplase* |
100 mg de infusão contínua durante 2 h |
|
Estreptoquinase† (raramente usada) |
250.000 unidades IV durante 30 minutos Então, 100.000 unidades/kg IV por 24 h |
|
Uroquinase† (raramente usada) |
4.400 unidades/kg IV durante 10 minutos Então, 4.400 unidades/kg/h IV por 12 h |
|
*Alguns dados sugerem que doses mais baixas de alteplase (50 mg IV) são tão eficazes quanto a dose padrão de 100 mg IV e causam menos complicações hemorrágicas. |
|
|
†Não está mais disponível nos EUA. |
|
Terapia guiada por cateter
A terapia guiada por cateter para a embolia pulmonar (trombolíticos, embolectomia) usa a colocação de um cateter nas artérias pulmonares para ruptura e/ou lise do coágulo. Ela é usada para tratar a embolia pulmonar maciça. As indicações para o tratamento da embolia pulmonar submaciça estão evoluindo. Estudos realizados até o momento, incluindo ensaios clínicos randomizados prospectivos, demonstraram que essa abordagem leva a uma melhora na razão ventrículo direito/VE em 24 h se comparada à anticoagulação isolada. Outros desfechos e a segurança da terapia guiada por cateter em comparação à trombólise sistêmica estão sob investigação.
Na terapia trombolítica guiada por cateter para a embolia pulmonar, acessam-se as artérias pulmonares via procedimento típico de cateterismo do coração direito/arteriografia pulmonar, e os trombolíticos são administrados diretamente aos grandes êmbolos proximais via cateter. A técnica mais amplamente estudada utiliza ultrassonografia de alta frequência e baixa potência para facilitar a administração dos trombolíticos. A ultrassonografia acelera o processo trombolítico desagregando cadeias de fibrina e aumentando a permeabilidade do fármaco lítico no coágulo. A dose convencinal era de 20 a 24 mg de tPA em 15 horas ou mais, mas doses mais baixas e durações mais curtas demonstraram recentemente ser eficazes com essa técnica.
Outras técnicas de extração de coágulos são a embolectomia por sucção por cateterismo, às vezes combinada com circulação extracorpórea. A embolectomia por sucção orientada por cateter difere da trombólise sistêmica e da terapia trombolítica guiada por cateter para a embolia pulmonar em que é necessário um cateter de calibre maior e o sangue que é aspirado deve ser redirecionado para a veia (geralmente a femoral). Os pacientes com trombos em trânsito na veia cava, átrio direito ou ventrículo direito são os melhores candidatos. É difícil acessar as artérias pulmonares com os dispositivos atuais. A oxigenação venoarterial por membrana extracorpórea (ECMO) pode ser usada como um procedimento de salvamento em pacientes gravemente enfermos com embolia pulmonar aguda, independentemente de quais outras terapias estão sendo usadas. Outros dispositivos menores de sucção estão sendo atualmente estudados.
Embolectomia cirúrgica
A embolectomia cirúrgica é reservada para pacientes com embolia pulmonar que são hipotensos independentemente das medidas de suporte (pressão arterial sistólica persistente ≤ 90 mmHg após reposição hídrica e oxigênio ou se houver a necessidade de terapia vasopressora) ou na iminência de um ataque cardíaco ou respiratório. Deve-se considerar a realização de uma embolectomia cirúrgica se o uso da trombólise for contraindicado; nesses casos, pode-se considerar também uma embolectomia por sucção guiada por cateter e, dependendo dos recursos e expertise locais, pode-se tentá-la antes da embolectomia cirúrgica. A embolectomia cirúrgica parece aumentar a sobrevida dos pacientes com EP maciça, mas não está amplamente disponível. Como na extração de coágulos/trombose orientada por cateter, a decisão de proceder com a embolectomia e a escolha da técnica dependem dos recursos e expertise locais.
Oxigenação por membrana extracorpórea
A oxigenação por membrana extracorpórea (ECMO) é cada vez mais utilizada na embolia pulmonar aguda catastrófica quando a trombólise é contraindicada ou falhou. A ECMO pode servir como ponte para a embolectomia cirúrgica ou o cateterismo, ou pode dar mais tempo para obter melhora apenas com a anticoagulação.
Prevenção
Prevenção de tromboembolia venosa grave
A prevenção da embolia pulmonar significa prevenção da trombose venosa profunda; a necessidade depende dos riscos do paciente, incluindo
- Tipo e duração da cirurgia
- Condições comórbidas, incluindo câncer e transtornos de hipercoagulabilidade
- Presença de um acesso venoso central
- História prévia de trombose venosa profunda ou embolia pulmonar
Os pacientes confinados ao leito e os pacientes que fizeram procedimentos cirúrgicos, especialmente ortopédicos, obtêm maior benefício e a maioria desses pacientes pode ser identificada antes da formação de trombos (ver tabela Avaliação do risco de trombose). Os fármacos preventivos incluem heparina não fracionada em dose baixa, heparina de baixo peso molecular, varfarina, fondaparinux, anticoagulantes orais (p. ex., rivaroxaban, apixaban), dispositivos e meias elásticas de compressão.
A escolha do fármaco ou dispositivo depende de vários fatores, incluindo a população do paciente, o risco percebido, contraindicações (p. ex., risco de sangramento), custos relativos e facilidade de uso. O American College of Chest Physicians public ou recomendações abrangentes baseadas em evidências para a profilaxia da trombose venosa profunda aguda, incluindo a duração da profilaxia, em pacientes cirúrgicos e não cirúrgicos e durante a gestação (The American College of Chest Physicians Guidelines on Prevention of Thrombosis) . Estudou-se a necessidade de profilaxia em inúmeras populações de pacientes.
O tipo de cirurgia, bem como fatores específicos do paciente, determinam o risco de trombose venosa profunda. Fatores de risco independentes incluem
- Idade ≥ 60 anos
- Trombose venosa profunda ou embolia pulmonar prévia
- Câncer
- Anestesia ≥ 2 h
- Repouso no leito ≥ 4 dias
- Sexo masculino
- Internação hospitalar ≥ 2 dias
- Sepse
- Gestação ou estado pós-parto
- Acesso venoso central
- IMC > 40
A classificação de Caprini é comumente usada para a estratificação do risco de trombose venosa profunda e a determinação da necessidade de profilaxia da trombose venosa profunda nos pacientes cirúrgicos (ver tabela Avaliação do risco de trombose).
A necessidade de profilaxia da trombose venosa profunda baseia-se na classificação de avaliação de risco (ver tabela Profilaxia baseada na classificação de Caprini). Medidas preventivas adequadas, que variam de deambulação precoce a uso de heparina, dependem do classificação total.
Tabela
Avaliação do risco de trombose
Fator de risco Classificação
|
Idade (anos) |
|
|
41–60 |
1 |
|
60–74 |
2 |
|
≥ 75 |
3 |
|
Cirurgia |
|
|
Cirurgia menor durante a hospitalização |
1 |
|
Cirurgia importante no último mês |
1 |
|
Cirurgia artroscópica durante a hospitalização |
2 |
|
Cirurgia maior de duração acima de 45 minutos durante a hospitalização atual |
1 |
|
Cirurgia laparoscópica de mais de 45 minutos de duração durante a hospitalização atual |
2 |
|
Artroplastia de membro inferior eletiva de grande porte durante a hospitalização atual |
5 |
|
Doenças coexistentes |
|
|
Veias varicosas |
1 |
|
Doença inflamatória intestinal |
1 |
|
Edema, perna (atual) |
1 |
|
Obesidade (IMC > 25) |
1 |
|
Infarto agudo do miocárdio |
1 |
|
Insuficiência cardíaca no mês anterior |
1 |
|
Sepse no mês anterior |
1 |
|
Doença pulmonar grave* no mês anterior |
1 |
|
Função pulmonar anormal (p. ex., DPOC) |
1 |
|
Acesso venoso central |
2 |
|
Câncer (atual ou prévio) |
2 |
|
História de trombose venosa profunda/embolia pulmonar |
3 |
|
História familiar de trombose† |
3 |
|
Mutação no fator V de Leiden |
3 |
|
Mutação no gene 20210A da protrombina |
3 |
|
Homocisteína sérica elevada |
3 |
|
Anticoagulante lúpico positivo |
3 |
|
Anticorpos anticardiolipina elevados |
3 |
|
Trombocitopenia induzida por heparina |
3 |
|
Outras trombofilias congênitas ou adquiridas |
3 |
|
Acidente vascular encefálico no mês anterior |
5 |
|
Politraumatismo no mês anterior |
5 |
|
Lesão medular aguda/paralisia no mês anterior |
5 |
|
Imobilização |
|
|
Repouso no leito atual (condição clínica) |
1 |
|
Repouso no leito > 72 h |
2 |
|
Uso de aparelho gessado no mês anterior |
2 |
|
Fratura de quadril, pelve ou membro inferior no mês anterior |
5 |
|
Fatores de risco adicionais para mulheres |
|
|
Uso de anticoncepcional oral ou terapia de reposição hormonal |
1 |
|
Gestação ou pós-parto no mês anterior |
1 |
|
História de natimorto, aborto espontâneo recorrente (≥ 3), parto pré-termo com toxemia ou criança com restrição de crescimento sem causas conhecidas |
1 |
|
Outros |
|
|
Outros fatores de risco‡ |
1 |
|
*A pneumonia é uma doença pulmonar grave. |
|
|
†A história familiar de trombose é o fator de risco mais frequentemente esquecido. |
|
|
‡Outros fatores de risco incluem um IMC > 40, tabagismo, diabetes que requer tratamento com insulina, quimioterapia, transfusões de sangue e cirurgia de mais de 2 h de duração. |
|
|
Dados de Gould MK, Garcia DA, Wren SM, et al: Prevention of VTE in Nonorthopedic Surgical Patients Antithrombotic Therapy and Prevention of Thrombosis, 9th ed: American College of Chest Physicians Evidence-Based Clinical Practice Guidelines. Chest 141 (2_suppl):2012, e227S. |
|
|
IMC = índice de massa corporal; DPOC = doença pulmonar obstrutiva crônica. |
|
Tratamento farmacológico para a prevenção da embolia pulmonar
O tratamento farmacológico para prevenir uma trombose venosa profunda geralmente é iniciado depois da cirurgia, para ajudar a prevenir o sangramento intraoperatório. No entanto, a fludarabina pré-operatória é mais eficaz.
Em pacientes cirúrgicos gerais, baixa dose de heparina não fraccionada é administrada em doses de 5.000 unidades por via subcutânea a cada 8 a 12 h por 7 a 10 dias ou até a reversão total dos riscos. Pacientes imobilizados que não foram submetidos à cirurgia devem receber 5.000 unidades por via subcutânea a cada 8 a 12 horas até a reversão total dos riscos.
A dose de heparina de baixo peso molecular para profilaxia da trombose venosa profunda depende do fármaco específico (enoxaparina, dalteparina, tinzaparina). As heparinas de baixo peso molecular são pelo menos tão eficazes quanto uma dose baixa de heparina não fracionada na prevenção da trombose venosa profunda e da embolia pulmonar.
Fondaparinux 2,5 mg por via subcutânea uma vez ao dia é tão eficaz quanto uma heparina de baixo peso molecular para a cirurgia ortopédica e em algumas outras situações. É um inibidor do fator Xa seletivo.
Em geral, a varfarina é efetiva e segura na dose de 2 a 5 mg por via oral uma vez ao dia ou na dose ajustada para manter a INR de 2 a 3 em pacientes submetidos a substituição total do quadril ou joelho. Ela ainda é usada por alguns cirurgiões ortopédicos para a profilaxia nesses pacientes, mas está cada vez mais sendo suplantada pelo uso de anticoagulantes orais mais recentes.
A rivaroxabana, um inibidor do fator Xa de administração oral, é usada para a prevenção da trombose venosa profunda/EP aguda em pacientes submetidos à artroplastia total de joelho ou de quadril. A dose é 10 mg por via oral uma vez ao dia. Seu uso em outros pacientes (cirúrgicos e não cirúrgicos) está atualmente sendo investigado.
O apixaban, um inibidor do fator Xa oral, também é utilizado para a prevenção da trombose venosa profunda/EP grave em pacientes submetidos à artroplastia total de joelho ou de quadril. A dose é 2,5 mg por via oral 2 vezes/dia. Como o rivaroxaban, a sua utilização em outros tipos de pacientes está atualmente sendo investigada.
Tabela
Profilaxia baseada no classificação de Caprini
Pontos Risco Profilaxia
|
0 |
Muito baixo |
Deambulação precoce |
|
1–2 |
Baixo |
Dispositivo de compressão sequencial (DCS) |
|
3–4 |
Moderada |
Heparina a cada 8 h ou heparina de baixo peso molecular +/- DCS |
|
≥ 5 |
Alto |
Heparina ou heparina de baixo peso molecular + DCS |
Dispositivos para a profilaxia contra embolia pulmonar
Filtros na veia cava inferior, compressão pneumática intermitente (também conhecida como dispositivos de compressão sequencial [DCS]) e meias elásticas de compressão gradual podem ser utilizados em combinação com os fármacos para prevenir a embolia pulmonar. A indicação específica dita se estes dispositivos são utilizados isoladamente ou em combinação.
Um filtro de veia cava inferior (FVCJ) pode ajudar a prevenir a embolia pulmonar em pacientes com trombose venosa profunda no membro inferior, mas a colocação do FVCJ impõe o risco de complicações a longo prazo. Os benefícios superam o risco se for previsto que uma segunda embolia pulmonar pode ser fatal; no entanto, poucos dados de ensaios clínicos estão disponíveis. Um filtro é mais claramente indicado em pacientes que têm:
- Trombose venosa profunda comprovada e contraindicações para anticoagulação
- Trombose venosa profunda recorrente (ou êmbolos), apesar de anticoagulação adequada
- Passaram por uma tromboendarterectomia pulmonar
- Função cardiopulmonar marginal, causando preocupação quanto à capacidade de tolerar pequenos êmbolos adicionais (ocasionalmente)
Como podem ocorrer efeitos colaterais venosos, fornecendo um caminho para que os êmbolos contornem o FVCJ, e como os filtros ocasionalmente trombosam, os pacientes com trombose venosa profunda recorrente ou fatores de risco não modificáveis para trombose venosa profunda podem precisar ainda de anticoagulação. Coloca-se o FVCJ na veia cava inferior, logo abaixo das veias renais, por cateterismo da veia jugular interna ou femoral. Alguns FVCJs são removíveis. Ocasionalmente, um filtro se desaloja e pode migrar para o leito venoso ou mesmo para o coração, e deve ser removido ou substituído. Um filtro também pode trombosar, causando congestão venosa bilateral (incluindo flegmasia cerulea dolens aguda) no membro inferior, isquemia na região inferior do corpo e lesão renal aguda.
A compressão pneumática intermitente (CPI) com SCDs fornece compressão rítmica externa para as pernas ou para as pernas e coxas. Ela é mais eficaz para prevenir trombose venosa profunda da panturrilha do que trombose venosa profunda proximal. Ela não é suficiente como profilaxia única depois de uma artroplastia de quadril ou de joelho, mas é frequentemente usada em pacientes de baixo risco após outros tipos de cirurgia ou em pacientes clínicos com baixo risco de trombose venosa profunda ou que têm alto risco de sangramento. Teoricamente, a CPI pode desencadear embolia pulmonar em pacientes imobilizados que desenvolveram trombose venosa profunda oculta enquanto não recebiam profilaxia contra trombose venosa profunda.
As meias elásticas de compressão graduada provavelmente são menos eficazes do que a compressão pneumática externa do membro inferior. Contudo, uma metanálise com revisão sistemática sugeriu que elas reduziram a incidência de trombose venosa profunda de 26% no grupo controle para 13% no grupo que usou meias de compressão em pacientes em pós-operatório.
Escolha da prevenção na embolia pulmonar
Após procedimentos cirúrgicos com alta incidência de trombose venosa profunda/embolia pulmonar, recomenda-se o uso de heparina não fracionada em baixas doses, heparina de baixo peso molecular ou varfarina de dose ajustada.
Depois de uma cirurgia ortopédica do quadril ou do joelho, outras opções incluem os anticoagulantes orais mais recentes, a rivaroxabana e a apixabana. Esses fármacos são seguros e eficazes e não exigem os exames laboratoriais para monitorar o nível de anticoagulação exigidos pela varfarina.
Na artroplastia total do quadril, os pacientes devem continuar tomando anticoagulantes por 35 dias no pós-operatório. Em pacientes selecionados com risco muito elevado de trombose venosa profunda/EP e sangramento, a colocação temporária de um FVCI é uma opção para a profilaxia.
Alto risco de trombose venosa profunda/EP também ocorre em pacientes submetidos a neurocirurgia eletiva e naqueles com lesão aguda da medula espinal e trauma múltiplo. Embora métodos físicos (CPI, meias elásticas) tenham sido usados em pacientes neurocirúrgicos por causa da preocupação com o sangramento intracraniano, heparina de baixo peso molecular parece ser uma alternativa aceitável. A combinação de SCDs e heparina de baixo peso molecular pode ser mais eficaz do que qualquer uma delas isoladas em pacientes de alto risco. Dados limitados dão suporte à combinação de SCDs, meias elásticas de compressão e heparina de baixo peso molecular para pacientes com lesão da medula espinal ou múltiplos traumas. Para pacientes com risco muito alto, um FVCI temporário pode ser considerado.
Em pacientes clínicos gravemente enfermos, pode-se administrar heparina não fracionada em baixa dose, heparina de baixo peso molecular ou fondaparinux. SCDs e/ou meias elásticas de compressão podem ser usadas quando anticoagulantes são contraindicados. Para pacientes com derrame isquêmico, pode-se usar uma dose baixa de heparina não fracionada ou heparina de baixo peso molecular; DCS e/ou meias elásticas de compressão podem ser benéficas.
Pontos-chave
- A embolia pulmonar aguda é uma condição médica comum e potencialmente devastadora.
- A suspeita clínica e a confirmação do diagnóstico são essenciais porque na maioria dos pacientes que morre de embolia pulmonar aguda, a embolia pulmonar nem mesmo é suspeitada.
- Como a anticoagulação melhora a sobrevida, os pacientes devem receber tratamento com anticoagulantes quando a embolia pulmonar é diagnosticada ou fortemente suspeita.
- Os pacientes com embolia pulmonar maciça e certos pacientes com embolia pulmonar submaciça devem ser considerados para receber terapia trombolítica ou embolectomia.
- Deve-se considerar a prevenção da trombose venosa profunda (e, portanto, da EP) a todos os pacientes em risco hospitalizados.
Fonte: https://www.msdmanuals.com/pt-br/profissional/dist%C3%BArbios-pulmonares/embolia-pulmonar-ep/embolia-pulmonar-ep
